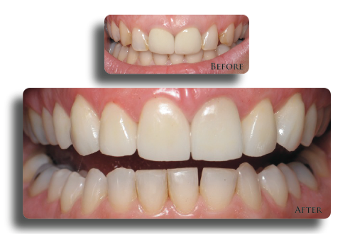
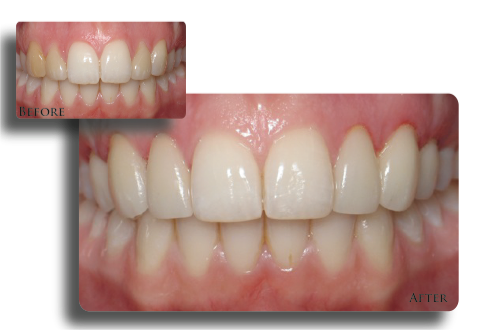
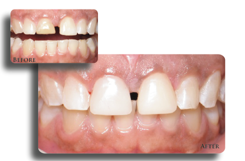
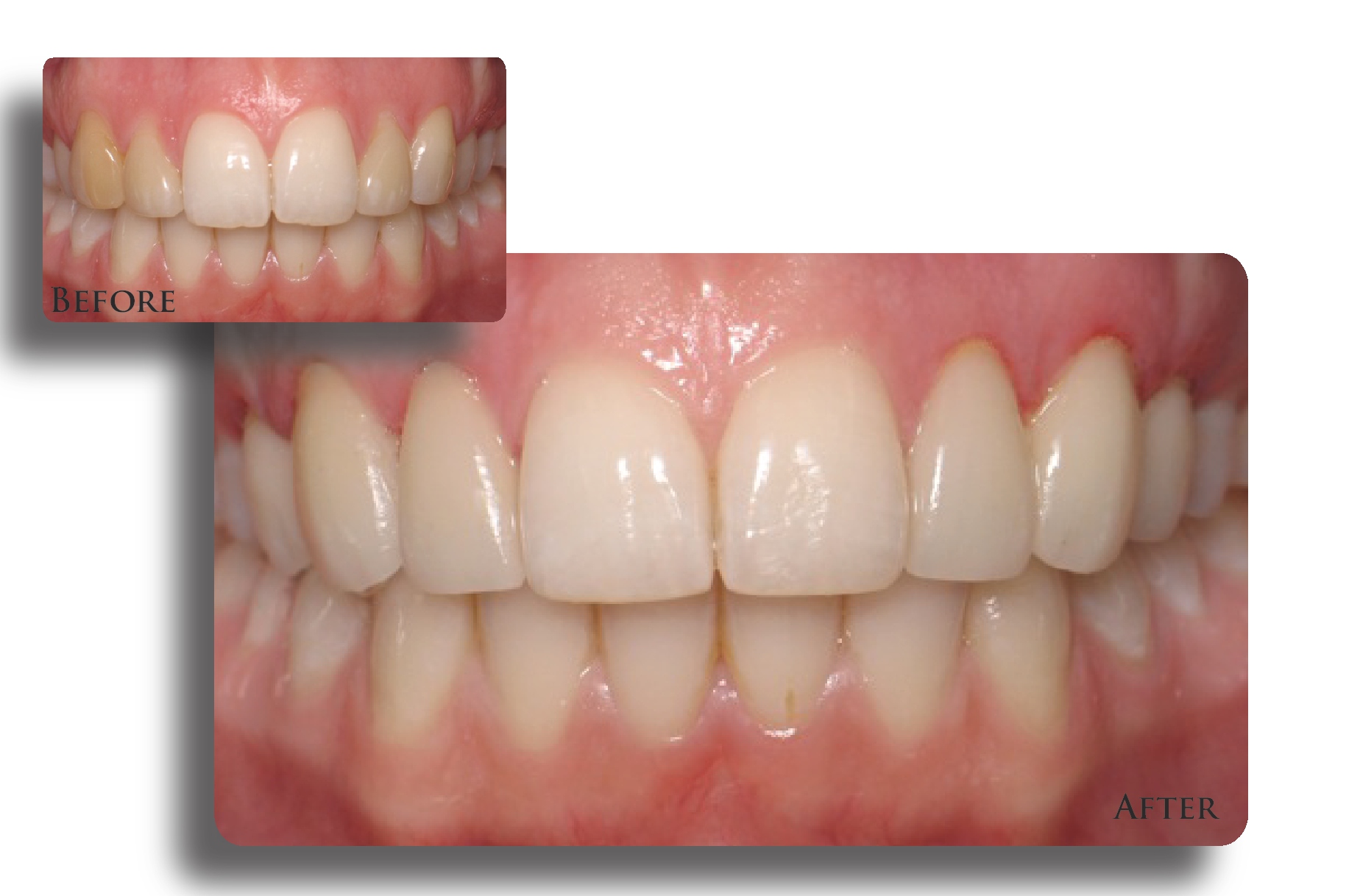
Smile Makeovers
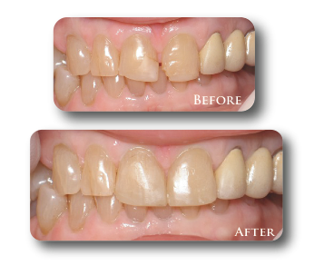
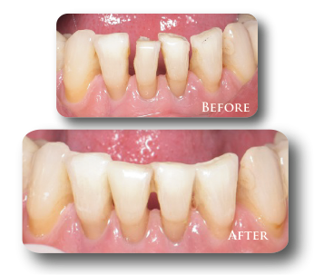
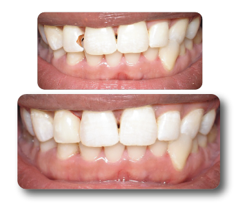
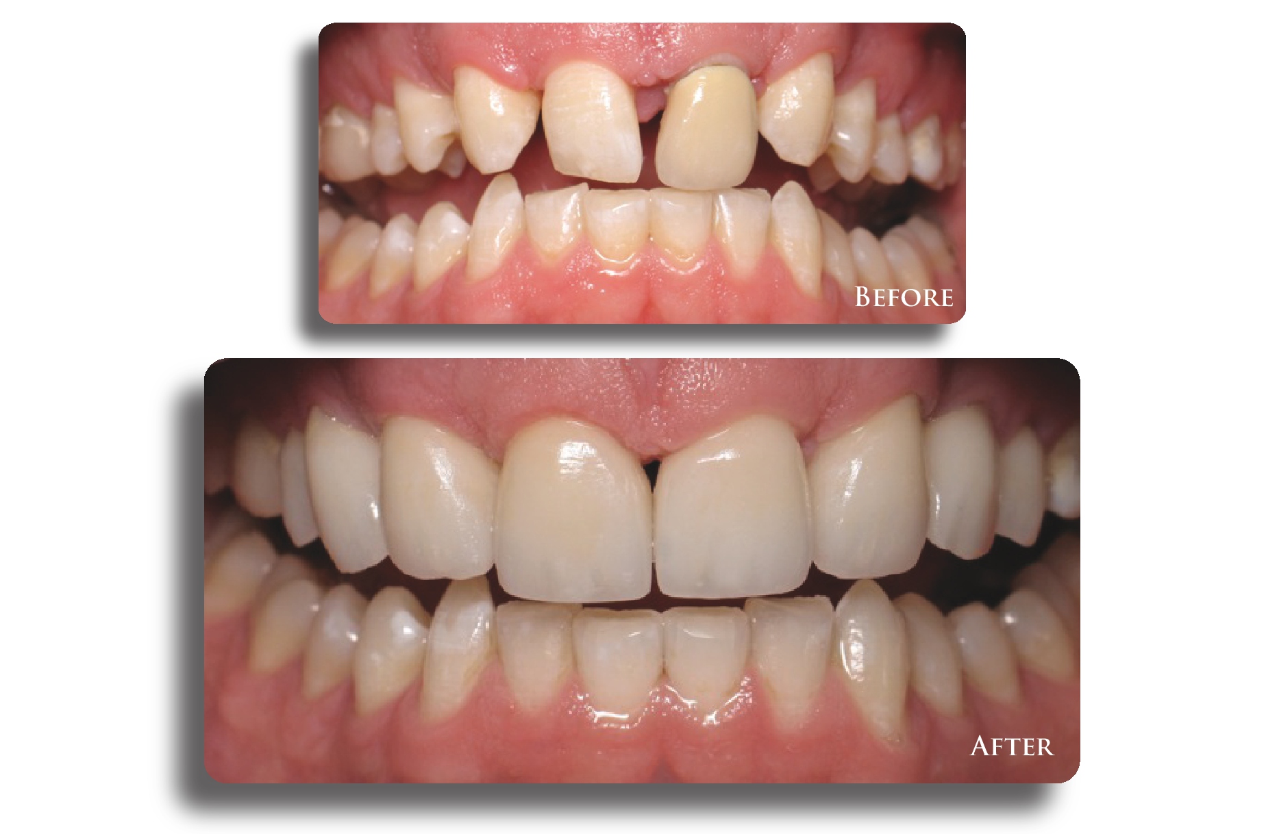
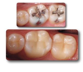
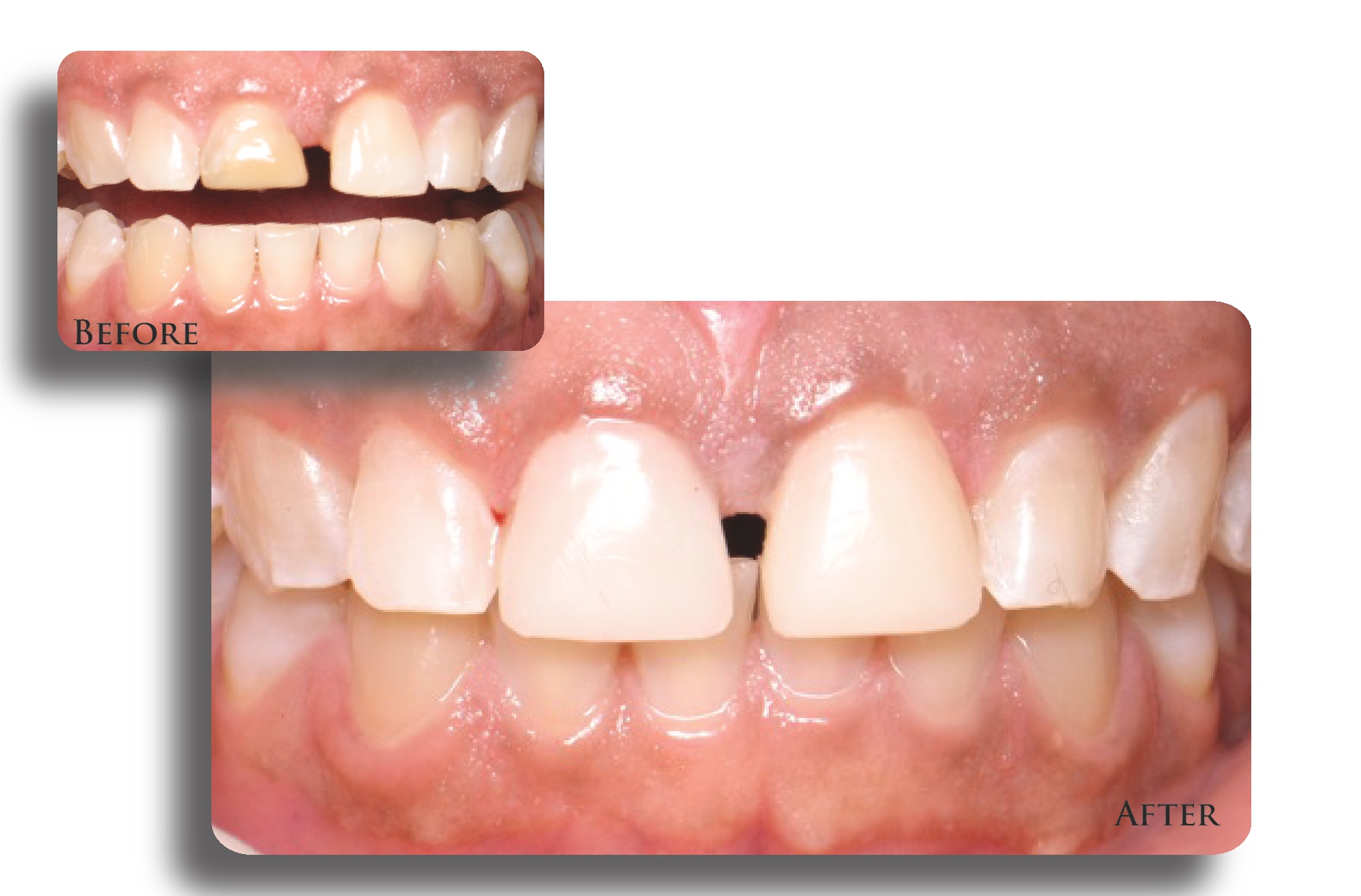
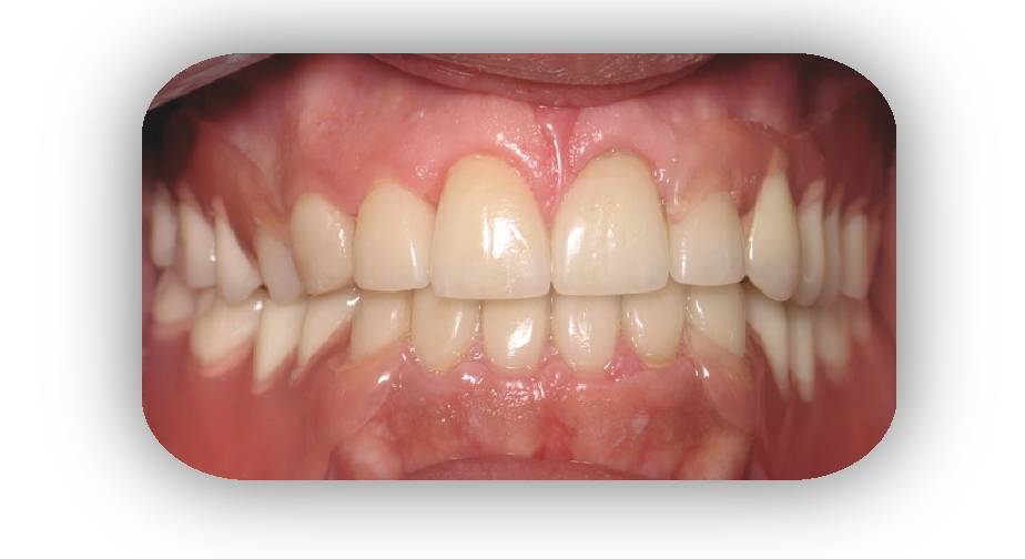
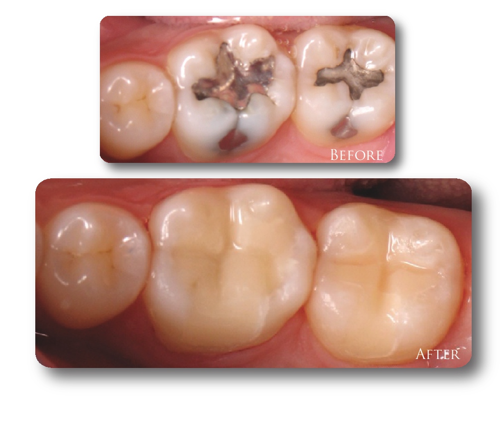
The photographs below are about people just like you. You don't need to be a celebrity to have a cosmetic makeover. See what cosmetic dentistry can do! What you cannot see is how a change in the smile can dramatically affect someone's life. With crowns and veneers, a person's self-confidence and self-esteem can be revived. The most rewarding part of a smile makeover is hearing how their lives have changed.
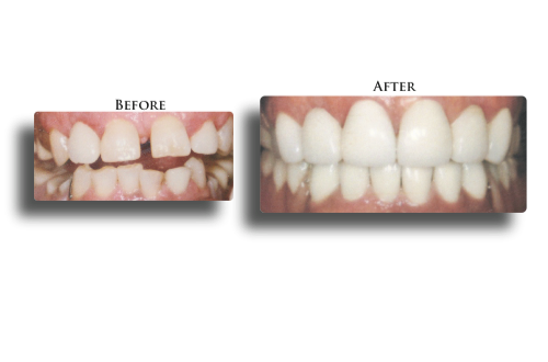
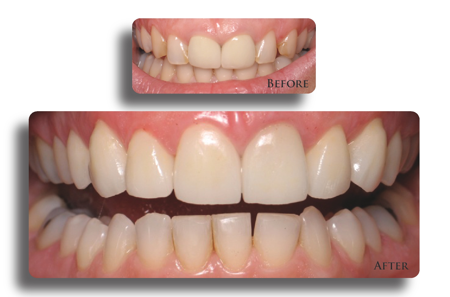
Our Project Smile Winner
Full Mouth Reconstruction with Crowns and Partial Dentures
Paul presented to our office as a contestant for Project Smile and was selected as the winner of the contest.
Paul endured years of pain and sensitivity with his teeth. He was the person in all of the family photos who never smiled because of his embarrassment of his teeth.
In the past, extracting his teeth was the treatment of choice. After visiting with Dr. Geller and addressing Paul's concerns, it was decided that his remaining teeth would be saved. Their were two major goals- cosmetic enhancement and improving Paul's ability to chew. With root canals, crowns, veneers and partial dentures, Paul was ready to take on the world with his new smile. And he even started smiling in his family photos...
Paul endured years of pain and sensitivity with his teeth. He was the person in all of the family photos who never smiled because of his embarrassment of his teeth.
In the past, extracting his teeth was the treatment of choice. After visiting with Dr. Geller and addressing Paul's concerns, it was decided that his remaining teeth would be saved. Their were two major goals- cosmetic enhancement and improving Paul's ability to chew. With root canals, crowns, veneers and partial dentures, Paul was ready to take on the world with his new smile. And he even started smiling in his family photos...
• New Patients ALWAYS Welcome
• We Offer BRACES!
• We Place MOST IMPLANTS!
• Emergencies Are Seen Same Day
• Preventative & Restorative Care
• Smile Makeovers
• Digital X-Rays
• Intraoral Camera
• Isolite Comfort System
• Nitrous Oxide Available
• Laser Cavity Detection
• Laser Dentistry
• Teeth Whitening Options
• Convenient Appointment Times
• Evenings & Saturdays
• Televisions & Headphones
• Massage Chairs
• Complimentary Paraffin Wax
• Children's Play Area
• Flexible Financing
• We Offer BRACES!
• We Place MOST IMPLANTS!
• Emergencies Are Seen Same Day
• Preventative & Restorative Care
• Smile Makeovers
• Digital X-Rays
• Intraoral Camera
• Isolite Comfort System
• Nitrous Oxide Available
• Laser Cavity Detection
• Laser Dentistry
• Teeth Whitening Options
• Convenient Appointment Times
• Evenings & Saturdays
• Televisions & Headphones
• Massage Chairs
• Complimentary Paraffin Wax
• Children's Play Area
• Flexible Financing







































